Ultrasound cavitation anti-aging, lifting procedure.

Procedures & Treatments We Offer

Comprehensive Treatments for All Skin Diseases

Expert dermatological care for conditions such as acne, eczema, psoriasis, fungal infections, pigmentation disorders, and more, using advanced medical and cosmetic treatments.

Laser Hair Removal , ND YAG LASER , DIODE LASER, IPL LASER

qswtch

Q SWITCH LASER FOR PIGMENTATION, TATOO & FINE HAIR

co2-scar-

CO2 LASER RESURFACING FOR REJUVINATION, PIGMENTATION & ACNE SCARS

Carbon laser

CARBON PEEL WITH Q SWITCH LASER FOR OPEN PORES ETC.

Botox Procedure

CHEMICAL PEEL FILLERS, BOTOX & THREAD LIFT

Hydra Facial

(FACIALS) HYDRA FACIAL , SILVER FACIAL , GOLD FACIAL , DIAMOND FACIAL , PLATINUM FACIAL

Profhilo-

MICRONEEDLING RF (SCARLET) , RF SKIN TIGHTENING & LIFTING

Thread Lift-6

BABY BOTOX FOR GLASS SKIN, MICRONEEDLING , VAMPIRE FACIAL

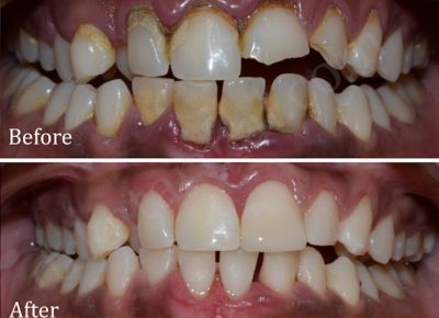
Dental Clinic DRS

Scaling+Polishing , Teeth whitening

asdfghjkl

Fillings Composite , Root Canal Treatment

qwertgfd

Extraction Anterior ,

qqqqq

Braces Visit Required

Dr. Rahila Shah for Expert Dermatological Care

Call me today at